口腔外科
口腔外科治療について
口腔外科では、むし歯などを治療する一般歯科に加え、あごの骨、口の中の病気、唾液線やその周りの病気、食事や話しをするための口の機能障害など、さまざまな治療を行っています。
- あごの関節に生じる痛みや歪みによる、顎関節症や顎変形症の治療
- 虫歯や歯周病などで歯を失ったり入れ歯でお悩みの方へのインプラント治療(人工の歯と歯根による歯の修復法)
- 事故などによる骨折や変形(顎顔面外傷)の治療
- 親知らずの治療や抜歯、保存が難しい歯の抜歯、自分の歯を使用した歯の移植(親知らずなどの余っている歯などがある場合のみ可能)
- 口内炎、小帯切除など外来手術(入院を必要としない小手術)
- 歯を原因とした炎症性疾患
- 舌の神経痛のような病気である舌痛症(ぜっつうしょう)の治療
こういった口腔の病気を、手術などの外科処置で総合的に治療するのが、口腔外科です。
日本口腔外科学会認定 口腔外科専門医による治療を行っています。
このようなお悩みがある方はご相談ください
- 親知らずが痛い・腫れている
- アゴが痛い・開けにくい
- 口を負傷した
- 口内炎を治したい
- インプラントをしたい
親知らずの抜歯は口腔外科で
現代人の顎は、だんだん小さくなっています。
歯の生えるスペースが狭くなったため、第三大臼歯(親知らず)が生える場所がなくなり、埋まったまま倒れてしまう場合があります。
放置していると、その他の歯まで圧迫してしまいます。
より安全な抜歯のためのCT撮影
パノラマレントゲン撮影で得られる画像は2次元のため、下顎神経の走行や上顎洞と歯の詳細な位置関係を知るのが難しい場合があります。
CT像では歯の生え方や神経の走行、上顎洞との位置関係などを3次元で確認することができるため、より正確な診断が可能です。主治医が総合的に判断しCT撮影を提案された場合はより安全な抜歯のために受けることをお勧めいたします。また患者様のご希望でも撮影は行いますのでお申しつけください。
CTの特徴
FOV(視界角)切替機能
治療目的に合わせ最適な撮影範囲(解像度)を設定でき、正確なCT画像診断が可能です。
低被ばく撮影
撮影範囲の最適化により、低被ばくでのCT撮影が可能です。CT撮影の適用範囲が広がります。
医療機関認証番号
CB MercuRay 21400BZZ00116000 歯顎顔面用コーンビームX線CT装置
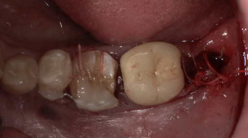
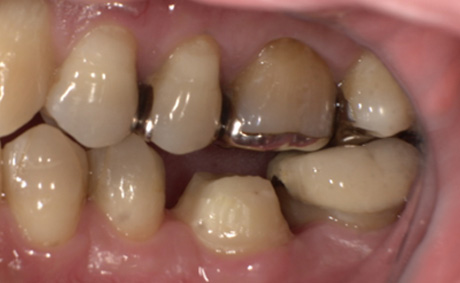
親知らずの抜歯(2回法)
親知らずの歯根の先端と下顎神経が近接している場合は2回に分けて抜歯を行うことがあります。まず、親知らずを2分割して頭の部分を抜きます。その後しばらく期間をおいて、のこる歯根の部分が頭を抜いたスペースに移動したのを確認して抜きます。
このように2回に分ける事で安全な抜歯が可能です。
当院で処置した2回法による親知らずの抜歯について詳細を下記よりご覧いただけます。
※歯肉の切開、出血を伴う写真がございます。
2回法親知らずの抜歯処置を表示する
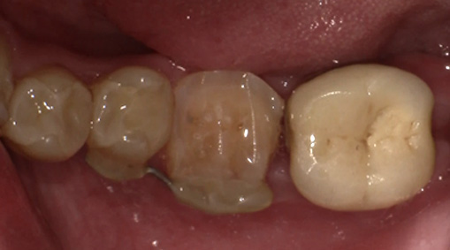
処置の流れ
まず歯冠を切除し、疼痛がでないよう、冠部歯髄を除去してネオダイン(歯髄の鎮痛鎮静、象牙質の消毒、覆髄)を填入します。その後、粘膜骨膜弁にて完全閉鎖を行います。以下に処置の流れを示します。
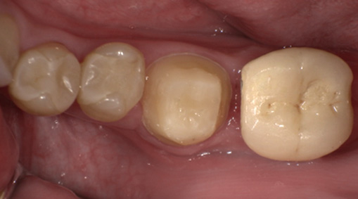
処置の評価
歯冠切除量と歯根の移動量の結果です。術前の智歯(親知らず)の幅径に対して計測した智歯の長径の割合は1.21ポイント、術後は1.10ポイントで有意に差を認めました。数ヵ月待機することにより歯根は有意に近心側に移動していることを認めました。
親知らずの抜歯(1回で抜歯)
親知らずの抜歯の難しさは埋伏の深さ、角度、歯根の形状、位置関係などにより決まります。
正常に生えている親知らずならばペンチのような器具(抜歯鉗子)を用いて牽引して抜歯できます。しかし、多くの親知らずは歯肉に中に埋まっている、傾いている、歯根が湾曲している等の異常な生え方をしています。そのような親知らずは最小限、歯の周りの骨を削り、隣の歯を傷つけないように親知らずの頭の部分を取り除いてから丁寧に慎重に牽引して抜きます。
親知らずが将来役に立つことも
いろいろと問題がおきやすい親知らずですが、まっすぐに生えていて上下がしっかりと噛み合っているような場合は、むし歯や歯周病になるように大切にケアして残し、もし将来奥歯(第二大臼歯)を失った場合はブリッジの支台にしたり、親知らずを傷めないように抜いて移植する「自家歯牙移植」という先端歯科医療に活用することも可能な場合があります。
場合によっては親知らずも活用できますのでまずは歯科医院にて検査されることをお勧めいたします。
親知らずが引き起こすトラブル
生え方の悪い親知らずは時に周囲の歯やあごの骨、神経などに悪影響を及ぼすことがあります。親知らずが引き起こすトラブルについてご紹介します。
- むし歯になる
- 親知らずが歯ぐきの中に埋まって、歯間の清掃が十分でないと汚れが溜まりむし歯になる場合があります。
- 歯ぐきやその周囲に炎症が起きる
- 親知らずの周りはデコボコしていて汚れが溜まりやすく細菌感染しやすい状態です。そのままにしておくと炎症が周囲に広がり骨膜炎を引き起こすこともあります。
- 歯並びが悪くなる
- 親知らずが隣の歯を押し出し、その力がさらに手前の歯にも伝わり歯並びが悪くなることもあります。
- あごの骨折の原因になる
- 親知らずの歯根から下あごの骨の角部までは距離が短く、薄いために無理な外力が加わると骨折することがあります。格闘技やサッカー、アメフトなどコンタクトスポーツに見られます。
- 歯の周囲にのう胞ができあごの骨が溶けてなくなる
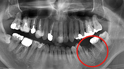
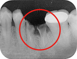
- 埋伏している親知らずの周囲にのう胞ができる場合があります。無症状のまま進行することが多く、エックス線写真で見つかる場合が大半です。
症例紹介
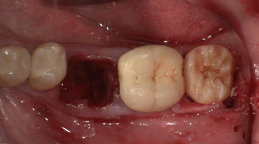
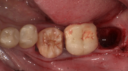
歯牙移植術
歯牙移植術は親知らずなど不要な自分の歯を、虫歯や事故で失った箇所へ移植する手術です。
術前・術後の比較
| 術前 | 術後 |
|---|---|
![]() |
![]() |
治療の経過を表示する
-
1日目:問診・検査を行います。

パノラマX線写真
デンタルX線写真う蝕(虫歯)も大きく、治療困難、抜歯が適応です。
-
2日目:検査・手術説明を行います。
CT -
3日目:歯牙移植術を行います。

抜歯する歯の周囲に麻酔をします。
傷んだ歯を抜歯します。
親しらずを抜歯して、移植します。
歯の固定や傷口を縫合します。
-
4-5日目 傷の消毒・経過観察を行います。
-
6日目(術後3-4週目) 歯内治療を開始します。

術後4週目の移植した歯牙。固定は維持されている。

ラバーダム(ゴム製の布)を装着し、歯の中の治療をします。 -
7日目(術後3-4週目) 歯内治療の続きをします。

仮蓋を除去します。
歯の中にお薬を入れます。
-
8日目 支台築造し、型どりをします。

最終の材料を入れて歯の土台を形づくります。
-
9日目 最終的な被せ物をいれます。


自家歯牙移植の保険適用について
本症例は保険適用の条件を満たしていたため保険適用で治療いたしました。保険適用外の自家歯牙移植については1歯につき110,000円(税込)の費用となります。
親知らず(智歯)抜歯を受けられる方へ
下顎の親知らず抜歯におけるリスク
下歯槽神経麻痺
下顎骨には歯や骨へ栄養を送る血管(下歯槽動静脈)と知覚を司る神経(下歯槽神経)が通る下顎管があります。親知らずの根の先とその下顎管が近接していることから、抜歯処置によって麻痺が起こる可能性があります。基本的には神経を切らない限り、完全に知覚を失うことはないですが、抜歯はてこの原理で行われ、横向きに生えた親知らずの根尖によりその力が下顎管へ刺激され神経麻痺が起こるとされています。
上顎の親知らず抜歯におけるリスク
上顎洞への穿孔
上顎骨には眼の下に左右に上顎洞(副鼻腔の1つ)があります。いわゆる蓄膿症の方でいう鼻汁が溜まるところです。上顎の奥歯の根の先は上顎洞底と近接もしくは貫通していることが多く、歯を抜くことによりお口の中と上顎洞が交通することがあります。その発症確率は5-10%で、5mm以下の穴ですと、自然閉鎖することがほとんどですが、5mm以上の穴や、喫煙者や蓄膿症がある方で抜歯後に穴が抜けた方は治癒が遅延したり、感染が起こりやすく閉鎖困難な場合があります。2ヶ月待っても閉鎖しないときは改めて歯肉の粘膜で閉鎖する手術が必要になります。
口腔上顎洞瘻孔が起こると予想される症例にはあらかじめプラスチックのカバーを用意します。(事前に型取りが必要)また、穴が開いた際は喫煙や鼻かみ禁止といった生活上注意事項がございますので主治医の説明に従ってください。


