インプラント治療
インプラント治療とは?
失われた歯の顎の骨に人工歯根(インプラント)を埋め込み、その上に人工の歯を固定することで、噛む機能を回復させる治療法です。
安定感があり、ほぼ天然の歯と同じように噛むことができるので「第2の永久歯」と呼ばれています。
入れ歯とインプラントの比較
顎の骨と人工歯根(インプラント)が直接結び付くので、他の歯に負担をかけることはありません。
またインプラントは歯茎と形が合わなくなることが少ないため、耐久性が抜群です。
神経の通ってない人工物であるのは共通点ですので、治療後も定期検診が必要です。
インプラントの構造
インプラント治療の進め方
- 1次手術(インプラント体の埋入)
- インプラント(人工歯根)部分だけを顎の骨の中へ手術で埋め込みます。
- 2次手術(支台の装着)
- インプラント体が顎の骨に固定されたら(およそ6~12ヶ月)、インプラントの上に人工の歯の土台となる部分(支台部)を取り付けます。
- 人工の歯の装着
- 支台の上に人工の歯を装着します。
以上が一般的な流れです。
診察と検査により患者さま1人ひとりに最適な手順・手術の方法を説明(インフォームド・コンセント)いたします。
通院回数・期間
約6ヶ月間、10回程度の通院(症例により変動します。詳しくは治療計画の説明時にお伝えしています)
費用
| 施術名 | 内容 | 金額(税込) |
|---|---|---|
| インプラント埋入 | 1本(上部構造を含む) | 396,000円から |
| 2本(上部構造を含む) | 748,000円 | |
| 3本(上部構造を含む) | 1,100,000円 | |
| 4本(上部構造を含む) | 1,452,000円 | |
| メンテナンス | 1回1本あたり ※装着後1カ月、3カ月、6カ月、1年と1年以内、かつ1年目以降は特に問題がなければ年1回のメンテナンスが必要となります。 |
1,100円(5本以上のメンテナンスは5,500円まで) |
リスクと副作用
インプラント治療には以下の一般的なリスク・副作用があることをご理解ください。※すべてのリスクや副作用が生じるわけではありません。
- 出血、腫張、疼痛、青痣、神経麻痺、補綴物の脱落、破折、インプラント体の破折、咬合違和感、インプラント周囲炎等
※禁忌症、適用外に該当し施術できない場合がございます。詳しくは術前の問診、検査にて説明いたします。
※効果には個人差があります。
※自由診療となります。 ご不明な点があれば歯科医師にご相談ください。
より正確な診断のために(歯科用CT装置)
インプラント治療は診査・診断と治療計画が大切です。
そのためには従来のパノラマ写真に替えて正確に顎の状態を撮影できる3DCTが不可欠です。
当院では、歯科用CTを用いた診査・診断と治療計画を行っています。
CTの特徴
FOV(視界角)切替機能
治療目的に合わせ最適な撮影範囲(解像度)を設定でき、正確なCT画像診断が可能です。
低被ばく撮影
撮影範囲の最適化により、低被ばくでのCT撮影が可能です。CT撮影の適用範囲が広がります。
医療機関認証番号
CB MercuRay 21400BZZ00116000 歯顎顔面用コーンビームX線CT装置
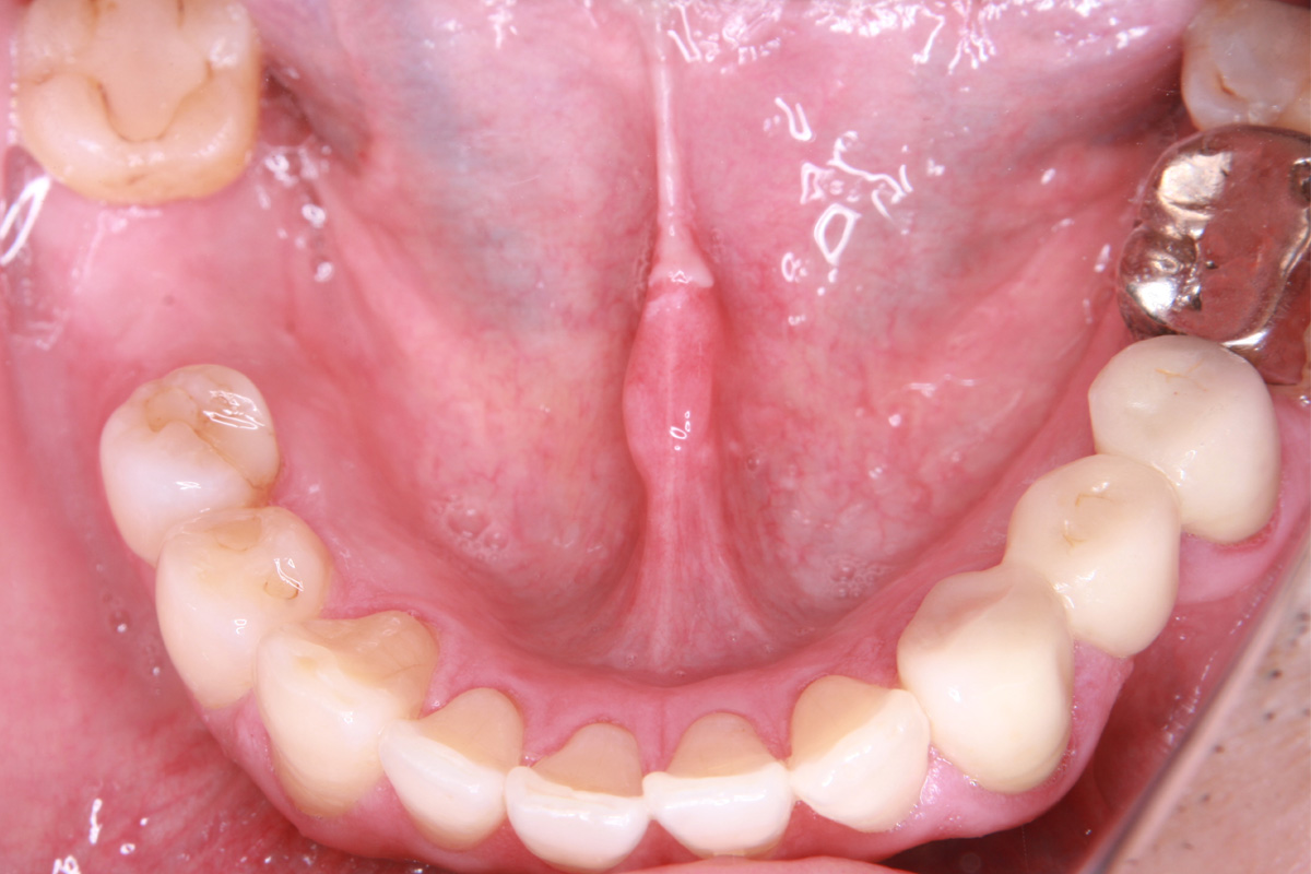
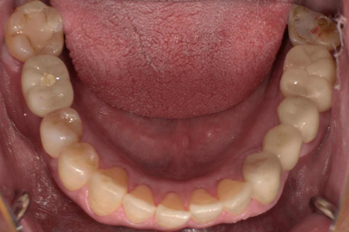
症例紹介
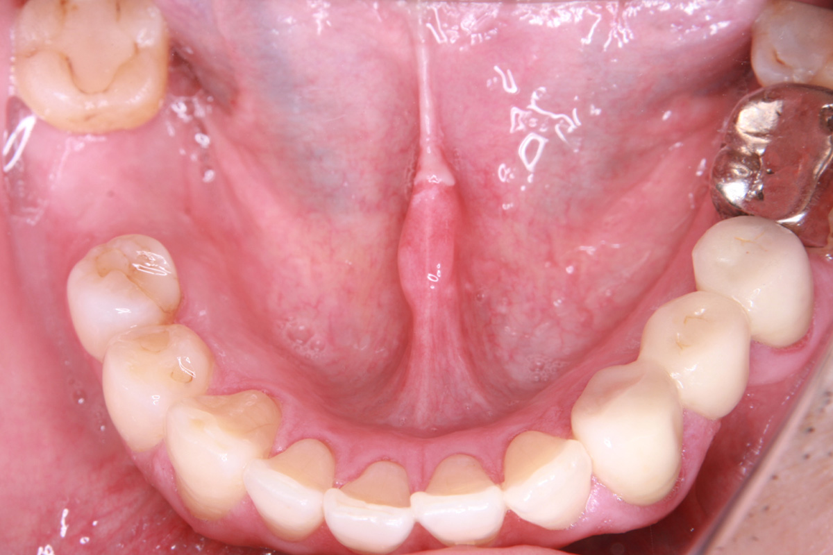
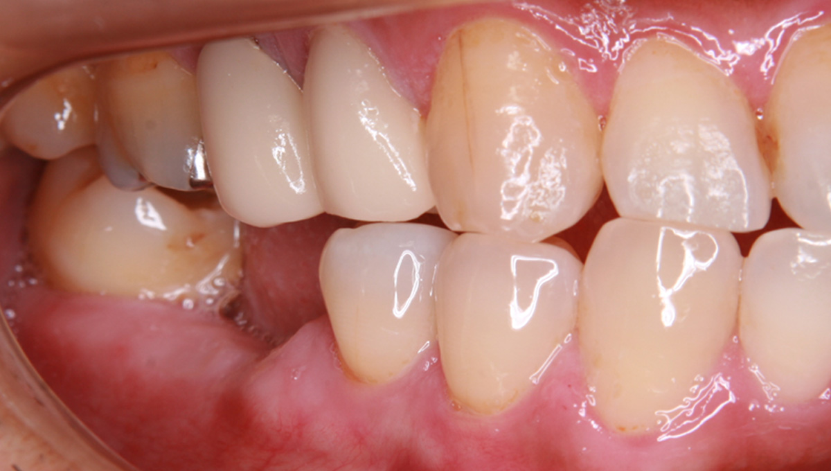
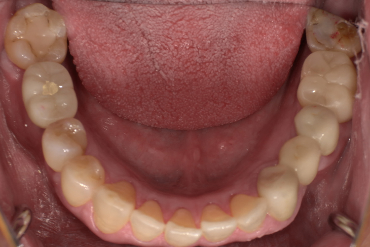
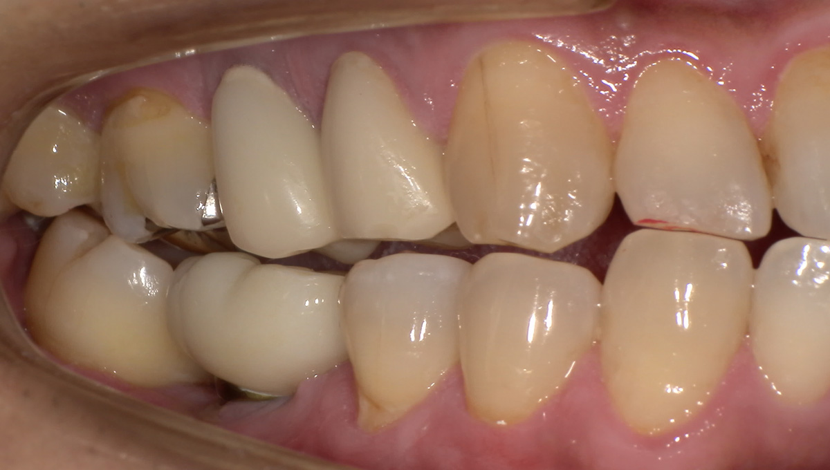
抜歯した箇所にインプラント治療を行った例
術前・術後の比較
| 治療前 | インプラント治療後 |
|---|---|
![]() ![]() |
![]() ![]() |
治療の経過を表示する
-
初診時
歯が割れていて、痛みがあり、抜歯となりました。
パノラマレントゲン写真 -
親抜歯後、歯ぐきは治癒しました。しかし、インプラント治療のためには骨が不足していました。


CT画像 -
骨移植(人工骨+メッシュプレート)を行い、骨を造りました。


CT画像 -
インプラント手術を行いました。
手術の時に使用するサージカルステント 
レントゲン画像 -
インプラント手術から3ヵ月後、型どりをして、仮歯を製作しました。


レントゲン画像 -
仮歯の調整期間を経て、セラミックの歯が入りました。


レントゲン画像 治療前 インプラント治療後 



治療の概要
| 患者属性 | 50代 男性 |
|---|---|
| 主訴 | 右下の歯が痛い。(抜歯後は、インプラント治療希望) |
| 診断 | 右下第一大臼歯 歯根膜炎 |
| 治療期間・通院回数 | 骨移植~インプラント治療 約1年(来院10回程度) |
| 治療費 | 骨移植 77,000円(税込) インプラント治療434,500円(税込) |
| リスクと副作用 | 出血、腫張、疼痛、青痣、神経麻痺、補綴物の 脱落、破折、インプラント体の破折、咬合違和感、インプラント周囲炎等 |
