義歯(入れ歯)治療
義歯治療とは?
歯を失ってしまった場合、食事や会話がしづらくなるだけでなく、見た目の問題や、残っている歯に負担がかかるなど、さまざまな問題が生じます。義歯(入れ歯)治療は、失われた歯の機能と見た目を補い、快適な日常生活を取り戻すための有効な選択肢です。
義歯治療とは、虫歯や歯周病、事故などによって失われた歯の機能を補うために、人工の歯とそれを支える床(しょう)を一体化した装置を製作し、お口の中に装着する治療法です。義歯はご自身で取り外しができるため、清掃がしやすく衛生的です。
義歯は大きく分けて以下の2種類があります。
- 総義歯(そうぎし): すべての歯を失った場合に、顎の土手(歯ぐき)全体を覆うように製作される義歯です。
- 部分義歯(ぶぶんぎし): 歯が一部残っている場合に、残っている歯にクラスプ(バネ)などをかけて固定し、失われた部分を補う義歯です。
入れ歯とインプラントの比較
歯を失った場合の治療法として、義歯(入れ歯)の他にインプラント治療があります。それぞれの治療法にはメリット・デメリットがあり、患者さんの状況に応じて適応が異なります。
当院では、患者さん一人ひとりの生活環境、ご希望、年齢、既往歴、将来の予後などを総合的に判断し、最適な治療法をご提案しています。インプラント治療も選択肢としてご案内できるため、どちらの治療法が適しているか、丁寧にカウンセリングを行います。
また、治療後の長期的な口腔内の健康を維持するために、終末期を見据えた医科・介護を含めた多職種連携でのメンテナンスも考慮し、患者さんが安心して過ごせるようサポートいたします。
治療の流れ
- 初診・カウンセリング
- 現在の口腔内の状態を詳しく検査し、歯を失った原因や、お困りごと、治療に対するご希望などを詳しくお伺いします。義歯治療のメリット・デメリット、他の治療法との比較などをご説明し、最適な治療計画を立てます。
- 型取り(印象採得)
- お口の型を精密に採取します。この型をもとに義歯の土台となる模型を製作します。
- 咬み合わせの記録
- 顎の位置関係や咬み合わせの状態を記録します。これにより、食事や会話がしやすい、機能的な義歯を製作するための重要な情報となります。
- 試適
- 製作された義歯の土台や歯を仮合わせし、お口の中で適合性、咬み合わせ、見た目などを確認します。必要に応じて調整を行います。
- 義歯の完成・装着
- 最終的な調整を行い、完成した義歯をお口に装着します。義歯の着脱方法やお手入れ方法について詳しくご説明します。
- 調整・メインテナンス
- 義歯を使い始めてから、痛みや違和感がある場合は、何度か調整が必要となることがあります。お口に馴染むまで、定期的にご来院いただき、細かく調整を行います。また、義歯の長期的な安定と口腔内の健康維持のために、定期的なメインテナンスと検診が非常に重要です。
以上が一般的な流れです。
診察と検査により患者さま1人ひとりに最適な手順・手術の方法を説明(インフォームド・コンセント)いたします。
保険診療と自由診療の義歯(入れ歯)
義歯治療には健康保険が適用される「保険診療」と、全額自己負担となる「自由診療」の2種類があります。保険適用の義歯は自己負担額を抑えられますが、使用材料や設計に制約があります。一方、自由診療の義歯は費用は高くなりますが、これらの制約がないため、金属床やノンクラスプデンチャーなど豊富な材料が選べ、薄く快適で、見た目も自然な義歯を追求できます。患者さんのご希望と口腔内の状態に合わせて、最適な義歯をご提案します。
スマートデンチャー
スマートデンチャーは、金属のバネ(クラスプ)を使用しない、審美性に優れた部分入れ歯のことです。 従来の入れ歯に見られる金属のバネがないため、装着しても目立ちにくく、自然な見た目を実現できます。 また、金属アレルギーの心配がないことや、装着感が良いことも特徴です。
利点
- 歯ぐきにぴったりとくっつくため、安定する。
- 針金を用いないため、見た目がよい。
注意点
- 義歯を支える歯の残存状況によって適応外となることがある。
- 柔らかい素材でできているため、物を噛み込んだ際に義歯が圧下して痛みが生じることがある。
- 専用の義歯洗浄剤を使用する必要がある。
- 修理の際は技工所で修理するため、修理日数が掛かる。
通院回数・期間
約1~2ヶ月間、2~4回程度の通院(症例により変動します。詳しくは治療計画の説明時にお伝えしています)
費用
| 装置名 | 内容 | 金額(税込) |
|---|---|---|
| スマートデンチャー | サイズ:小 | 110,000円 |
| サイズ:中 | 132,000円 | |
| サイズ:大 | 154,000円 | |
| スマートデンチャー+金属床義歯 | 片顎 | 330,000円 |
リスクと副作用
義歯治療には以下の一般的なリスク・副作用があることをご理解ください。※すべてのリスクや副作用が生じるわけではありません。
- 装着時の不快感や違和感、咀嚼能力の低下、顎の骨の吸収(痩せ)、残っている歯への負担、口内炎や口臭等
※禁忌症、適用外に該当し施術できない場合がございます。詳しくは術前の問診、検査にて説明いたします。
※効果には個人差があります。
※自由診療となります。 ご不明な点があれば歯科医師にご相談ください。
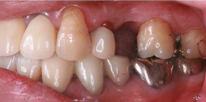
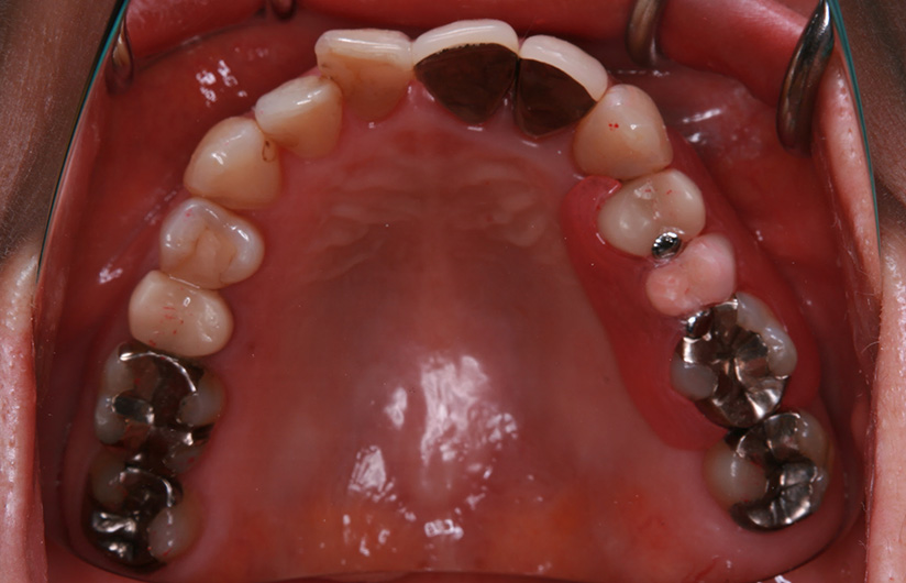
症例紹介
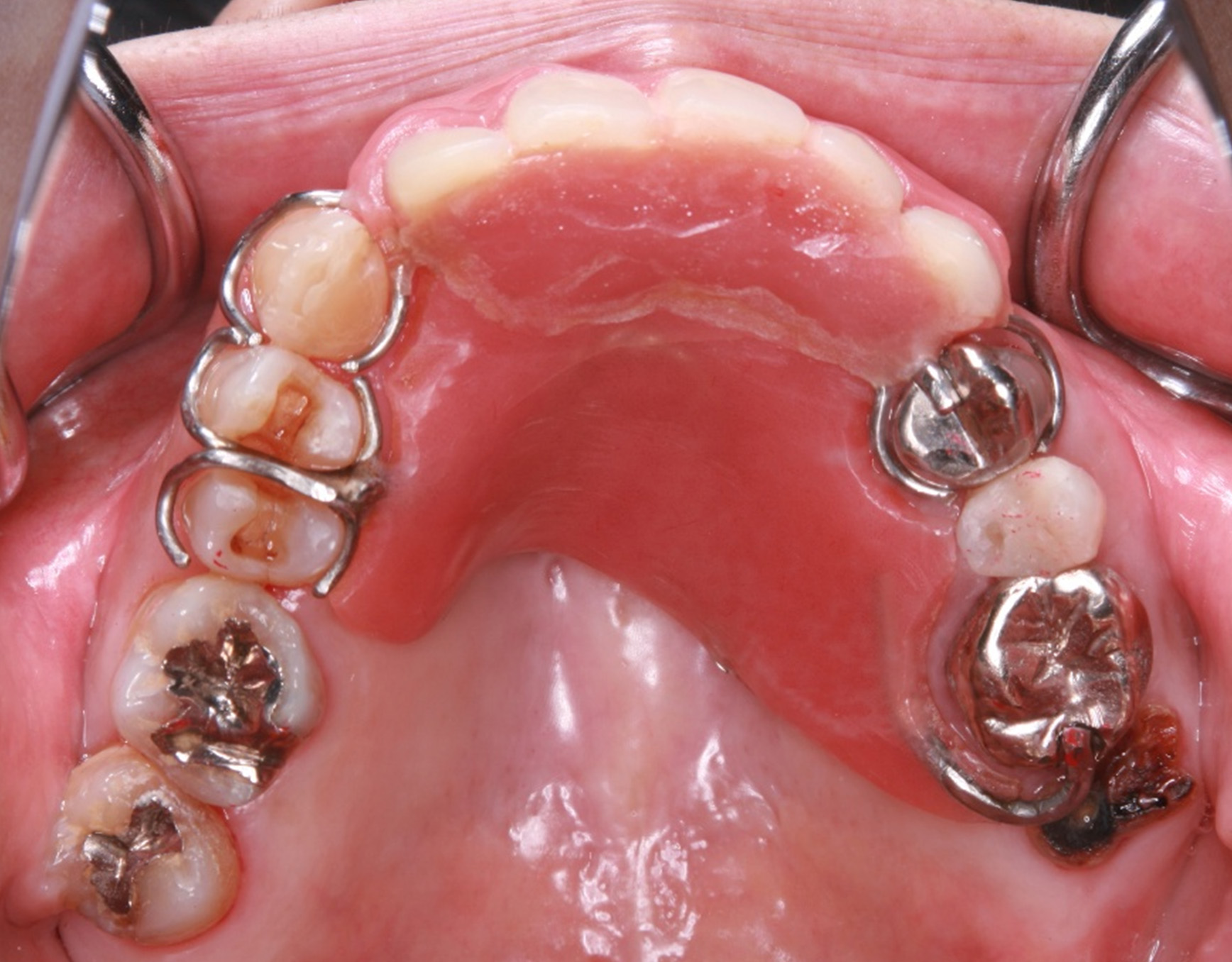
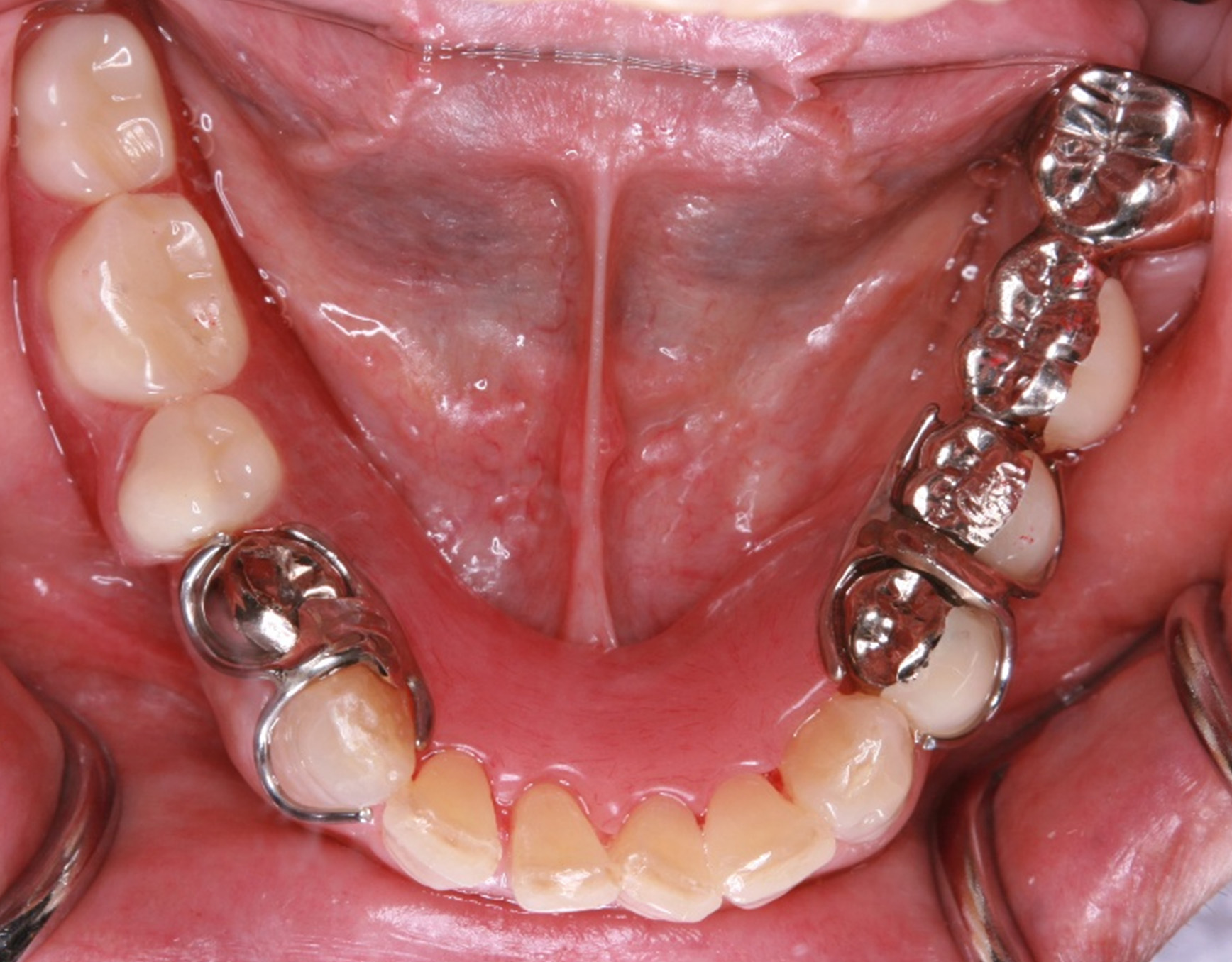
上下顎のスマートデンチャー治療の例
術前・術後の比較
| 術前 | 術後 |
|---|---|
![]() ![]() |
![]() ![]() |
治療の概要
| 患者属性 | 60代 女性 |
|---|---|
| 主訴 | 安定した入れ歯が欲しい |
| 診断 | 上下顎 複数歯欠損 |
| 補綴装置 | スマートデンチャー+金属床 |
| 治療期間・通院回数 | 上顎:2か月(来院5回)、下顎:1か月(来院3回) |
| 治療費 | 上顎:330,000円(税込)、下顎:330,000円(税込) |
| リスクと副作用 | 歯がないところの横の歯(隣在歯)に義歯をひっかけるため、その支えとなる歯には、ブリッジ治療と同様の影響があります。 |
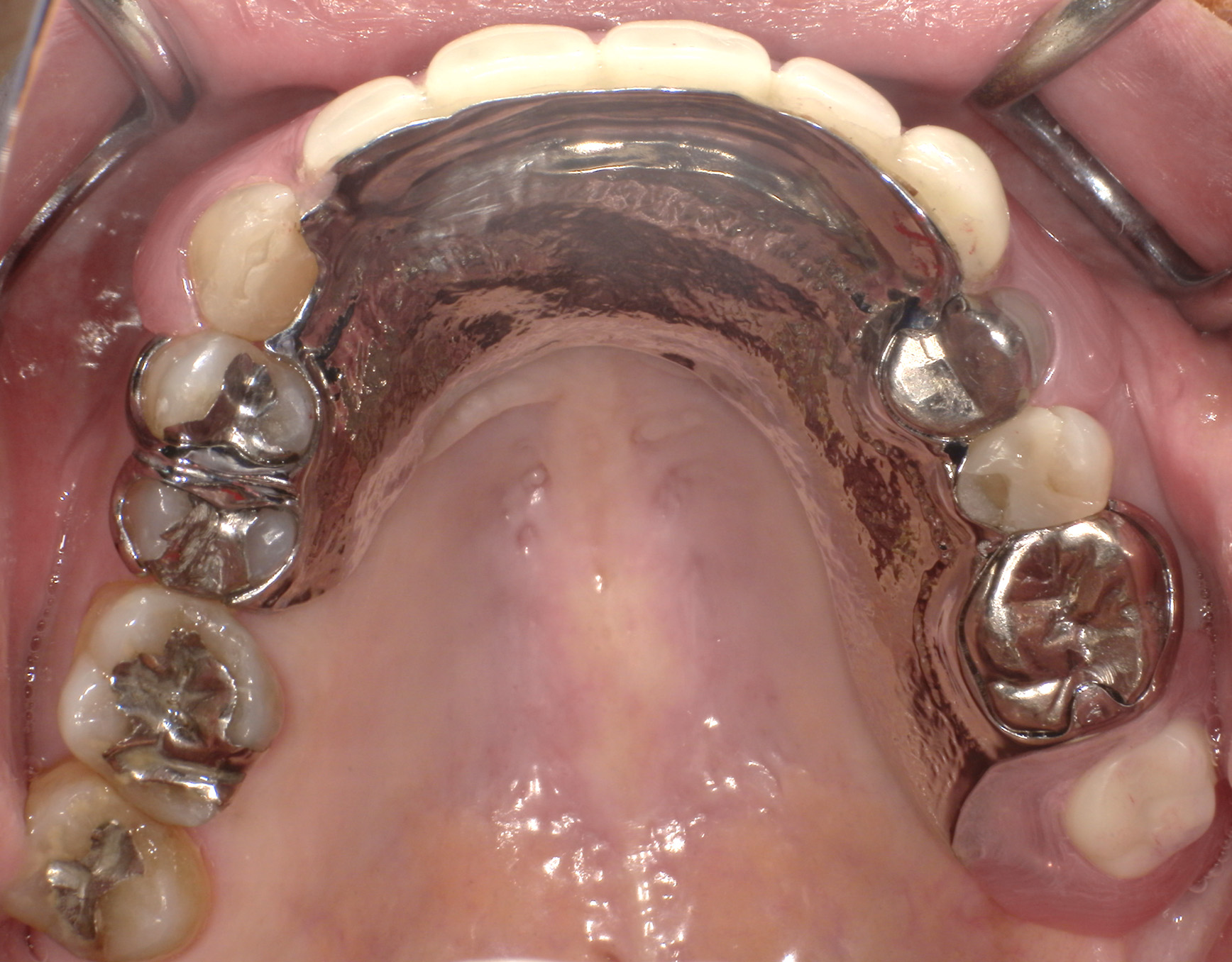
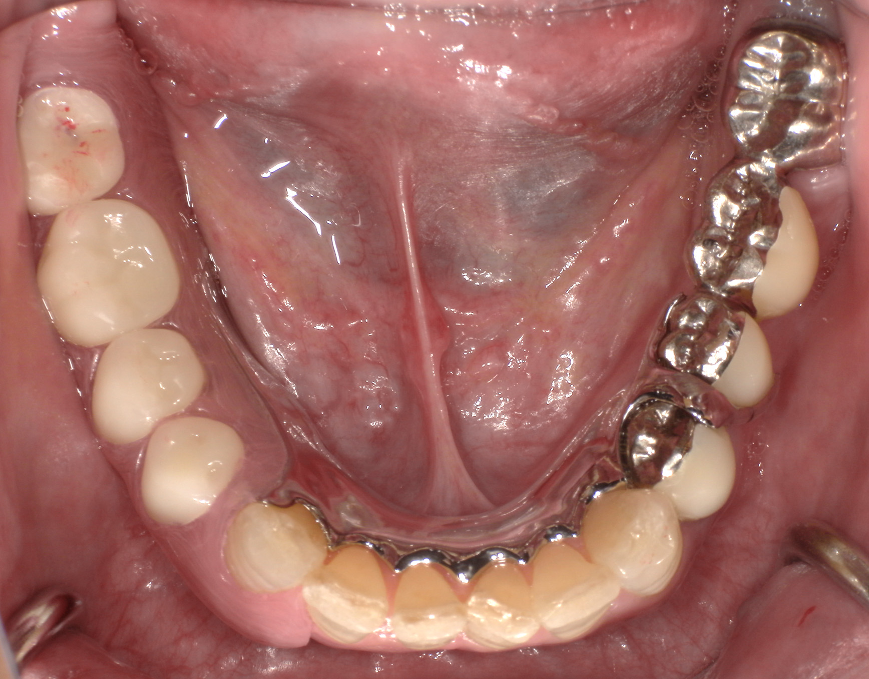
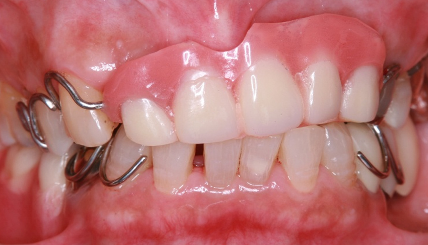
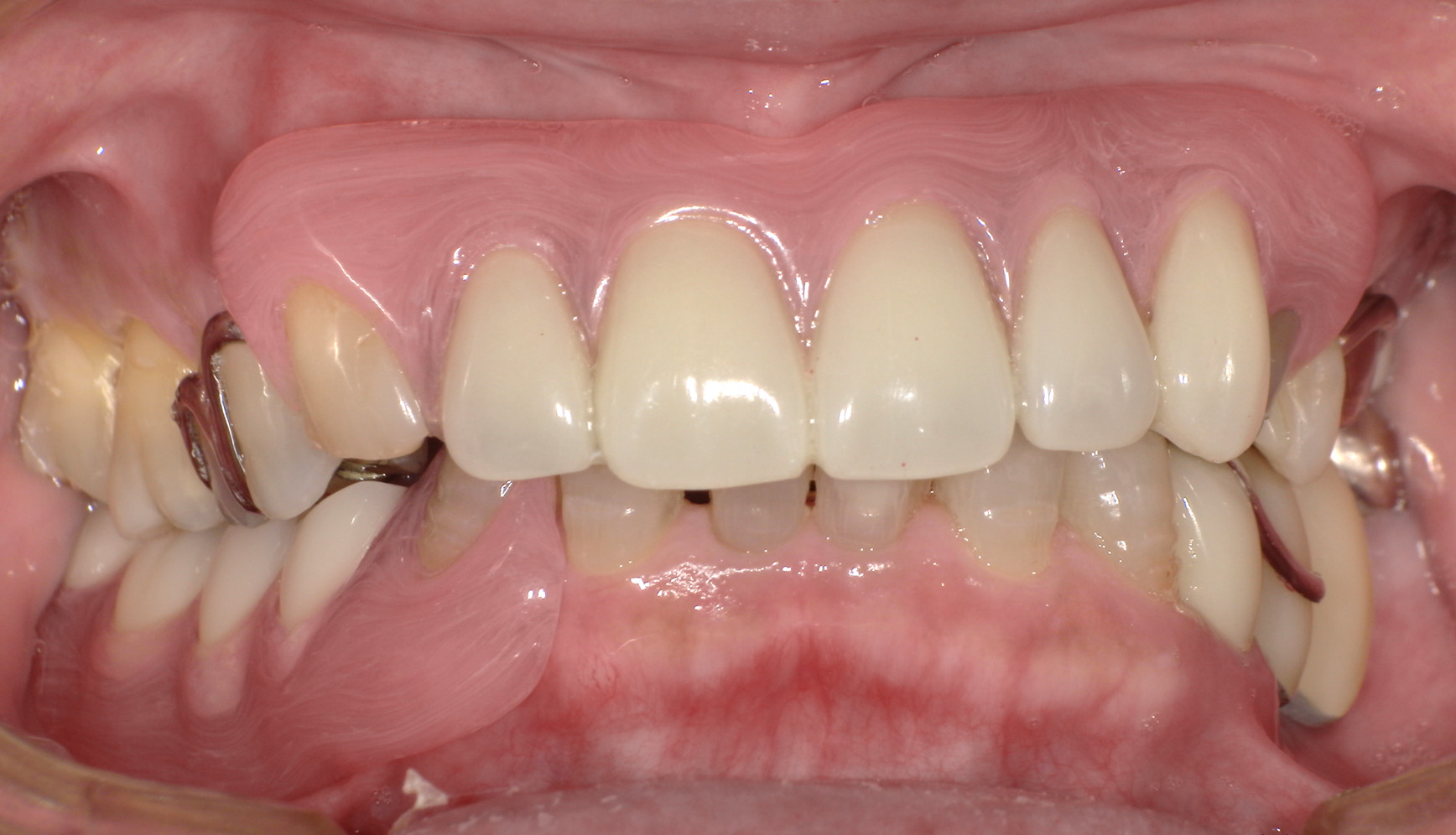
1歯義歯治療の例
術前・術後の比較
| 術前 | 術後 |
|---|---|
![]() ![]() |
![]() ![]() |
治療の概要
| 患者属性 | 50代 女性 |
|---|---|
| 主訴 | 左上の歯ぐきが痛む |
| 診断 | 左上5 歯根破折 |
| 補綴装置 | ノンクラスプデンチャー |
| 治療期間 | 約2ヵ月 |
| 通院回数 | 2回 |
| 治療費 | ノンクラスプデンチャー治療(1歯):110,000円(税込) |
| 治療内容 | 左上5の抜歯術を行い、治癒期間(約1か月)を得て、2回の義歯治療で義歯を作成しています。 |
| リスクと副作用 | 歯がないところの横の歯(隣在歯)に義歯をひっかけるため、その支えとなる歯には、ブリッジ治療と同様の影響があります。 |








